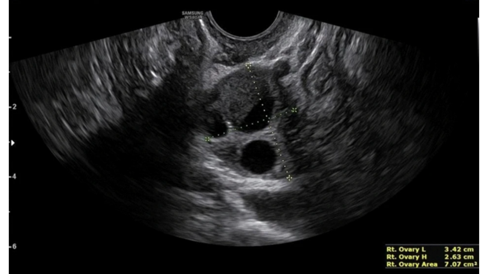
Endometrioma con evidencia del característico doble nivel líquido-líquido
ECOGRAFIA TRANSVAGINAL DINÁMICA PARA EL ESTUDIO DE ENDOMETRIOSIS
Se trata de un estudio simple, ambulatorio, sin radiación y de gran utilidad clínica, que permite una evaluación más completa que la ecografía ginecológica convencional cuando existe sospecha de endometriosis, especialmente en sus formas profundas.
¿EN QUÉ CONSISTE?
Se trata de un estudio simple, ambulatorio, sin radiación y de gran utilidad clínica, que permite una evaluación más completa que la ecografía ginecológica convencional cuando existe sospecha de endometriosis, especialmente en sus formas profundas.
Análisis de imágenes
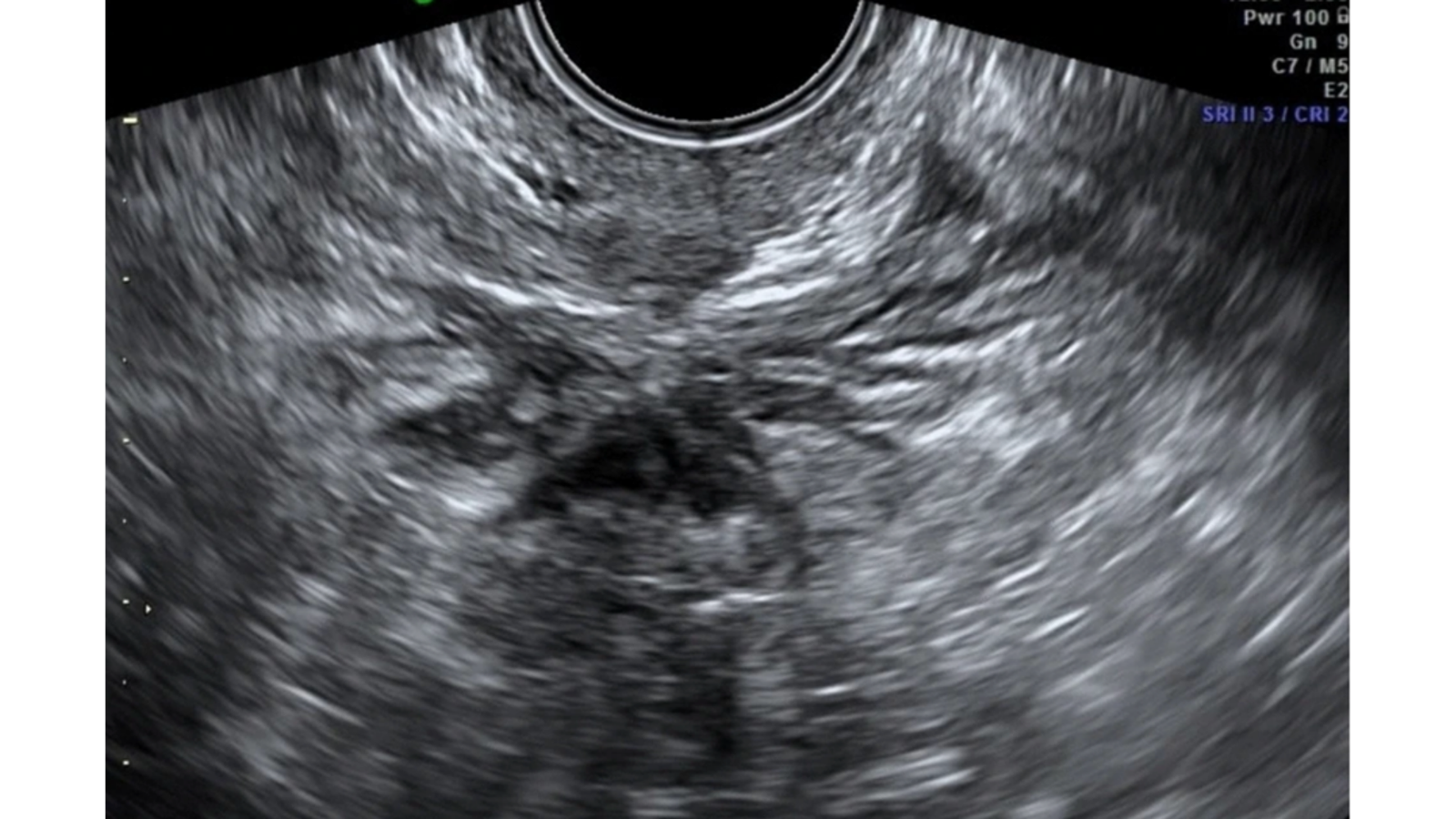
Dentro de la formación, se pueden observar puntos hiperecogénicos, síntoma de acumulación de hemosiderina (fig1).
Quiste endometriósico, con parénquima regular en la periferia, denominado “signo de la media luna”, característico de las lesiones benignas. Ausencia de vascularización intralesional (fig2).
Nódulo hipoecoico de la porción rectosigmoidea que oblitera el Douglas. A este nivel, se puede observar el «signo de deslizamiento», signo del deslizamiento de las estructuras unas sobre otras que no se presenta en el caso de la endometriosis (fig3).
- Signo de deslizamiento (Sliding Sign):Técnica ecográfica dinámica donde se evalúa el movimiento entre el útero y el recto. Si hay deslizamiento, es positivo (no hay adherencias), contrario a lo que se espera en una endometriosis infiltrante de Douglas.


