Esteatosis hepática focal multinodular
Presentación de caso clínico-radiológico
Resumen
La esteatosis hepática es una entidad frecuente, con un fácil diagnostico a través de estudios de ultrasonido, cuando su forma de presentación es la habitual. Generalmente se asocia a obesidad, trastornos metabólicos, hipertrigliceridemia, resistencia a la insulina y abuso de alcohol. En un porcentaje muy reducido, menor al 2%, y bajo ciertas condiciones, puede evolucionar a esteato-hepatitis y progresar a cirrosis.
Dado que existen diferentes forma de presentación y algunas llevan a diagnósticos erróneos, es necesario conocer los patrones habituales y no habituales de esta entidad, a fin de realizar un diagnostico preciso y así evitar estudios innecesarios, en algunos casos invasivos como es la biopsia hepática, y lo más importante, evitar una carga emocional al paciente.
Historia clínica
Paciente femenina, de 41 años de edad, que consulta a su médico clínico, por dolor abdominal de varias semanas de evolución, a predominio epigástrico. El examen físico revela dolor a la palpación en epigastrio, el resto normal.
No refiere antecedentes personales de enfermedad.
Le solicita laboratorio de rutina ecografía abdominal.
Datos destacados:
- Laboratorio normal, con valores acordes a la edad de la paciente.
- Estudio ecográfico realizado en centro de la región, informa a nivel del hígado múltiples lesiones focales ecogénicas distribuidas en ambos lóbulos, compatibles con secundarismo.
Luego se complementa el laboratorio con resultados de alfa-feto-proteína y serología para hepatitis normales.
El paciente mejoró espontáneamente.
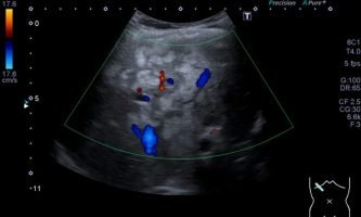
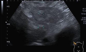
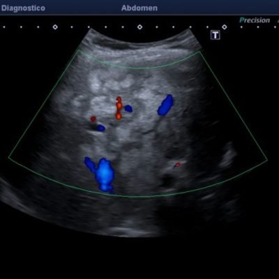
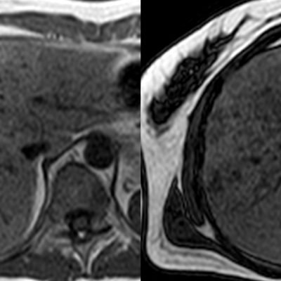
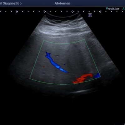
El médico de referencia le indica nueva ecografía de control, donde se observan múltiples y extensas lesiones focales hepáticas hiperecogénicas, redondeadas y confluentes, las cuales predominan en adyacencia a venas supra hepáticas, sin condicionar efecto de masa y sin alteración de la superficie hepática(fig. 1 y 2). Ante la valoración con Doppler color no presenta patrón de flujo peri ni intralesional y respeta el calibre de las venas supra hepáticas(fig. 3 y 4). Dada las características ecográficas se sospecha esteatosis focal multinodular confluente como principal diagnóstico presuntivo, siendo los diagnósticos diferenciales patologías de naturaleza infecciosa, tumoral o metastásica.
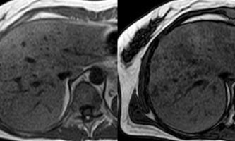
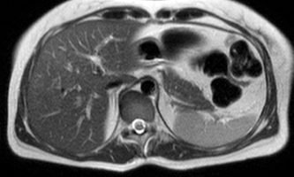
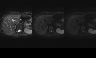
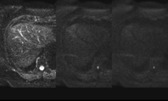
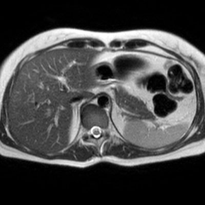
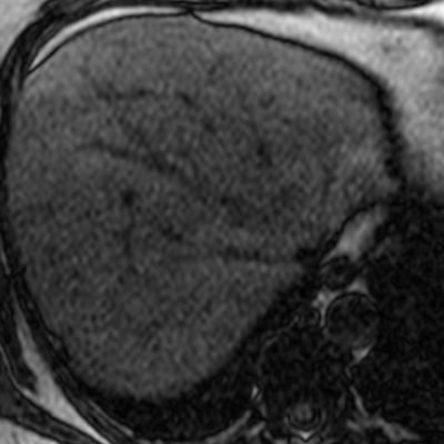
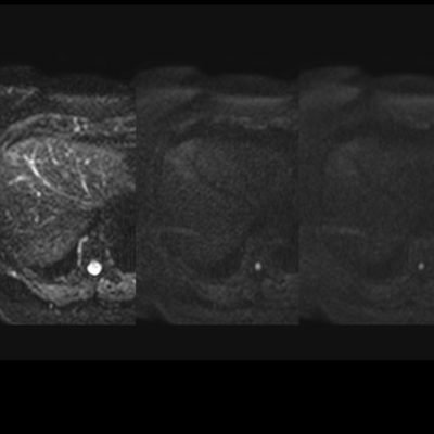
El estudio se complemento con resonancia magnética, donde se demostró la presencia de múltiples imágenes focales hepáticas confluentes con disminución de la señal en secuencias fuera de fase, no mostrando alteración de la señal en secuencias potenciadas en T2, sin signos de restricción al pulso difusión ni refuerzos anómalos luego de la administración de contraste endovenoso, estos hallazgos confirman la sospecha de esteatosis focal multinodular (fig. 5, 6 y 7).
Revisión del tema
La esteatosis hepática es uno de los diagnósticos mas frecuentes que se realizan en estudios de ecografía abdominales, dado que es una condición altamente prevalente en la población, suele asociarse a obesidad, trastornos metabólicos, resistencia a la insulina y consumo de alcohol. Se puede manifestar como esteatosis difusa, que es fácil de diagnosticar, o como esteatosis focal, multifocal o áreas respetadas de esteatosis, con diferente distribución, abarcando áreas habituales o inhabituales del hígado. Las imágenes por si solas no definen un diagnóstico, siempre deben considerarse antecedentes personales, factores morfológicos, estudios previos y estado clínico actual del paciente. Cuando la forma de presentación es multifocal e inespecífica, se recomienda complementar con RM para confirmar diagnóstico.
Bajo ciertas condicionas predisponentes, un mínimo número de pacientes con hígado graso, menos del 2%, la esteatosis puede evolucionar a esteato-hepatitis (NASH), la cual se define como una complicación necro-inflamatoria de esteatosis hepática persistente y es la principal vía por la cual la esteatosis hepática puede progresar a cirrosis. 5
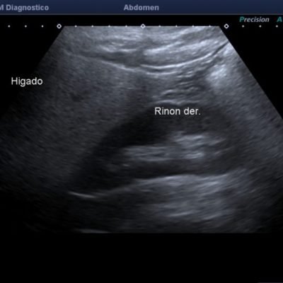
El examen radiológico abdominal más comúnmente utilizado en prevención es la ecografía (US) dado que es un método económico y accesible, no invasivo y que no utiliza rayos X, con el cual se logra fácilmente el diagnóstico de esteatosis, dado que se reconoce aumento difuso de ecogenicidad del parénquima hepático. Los criterios principales: la ecogenicidad del parénquima hepático debe ser mayor que la de la corteza renal, mala definición diafragmática, de los vasos supra hepáticos y de la arquitectura intra hepática.2(fig. 8, 9a y 9b)
Sin embargo, la esteatosis puede manifestarse de manera inusual, por lo que puede confundirse con procesos neoplásicos, inflamatorios o vasculares. Esto puede llevar a procedimientos innecesarios, que incluye más exámenes de imágenes como Resonancia Magnética (RM), siendo éste el método más sensible (81%) y específico (100%) en el diagnóstico de esteatosis hepática, también puede realizarse tomografía computada (TC) e incluso una biopsia hepática.6-7
Los pacientes suelen estar asintomáticos, pero en ocasiones puede presentar hepatomegalia, hipertensión portal y alteraciones en la función hepática.
Existen diferentes formas de presentación de la esteatosis hepática, encontrando tres patrones principales:
• Esteatosis Difusa: no presenta problemas en su diagnóstico, reconociéndose incremento difuso de la ecogenicidad del parénquima hepático.
• Esteatosis Focal sin o con áreas respetadas de esteatosis: estos hallazgos pueden simular lesiones focales. Existen criterios que permiten determinar que estas áreas de respeto parenquimatoso no corresponden a lesiones focales, tal como su localización en áreas características como son en adyacencia al ligamento falciforme, a la fisura para el ligamento venoso, a la bifurcación portal y a la vesícula biliar, no condicionan efecto de masa sobre otras estructuras como las venas supra hepáticas y suelen mostrar distribución geográfica.
• Esteatosis multifocal: resulta ser el patrón menos frecuente pero el mas problemático por ser un simulador de otras patologías, dado que corresponde al depósito multifocal de grasa en áreas atípicas, con diferentes formas de presentación, redondas, ovales, elongadas o confluentes, pudiendo ocurrir en localización perivascular y subcapsular, y no presentan efecto de masa (fig. 10 y 11).
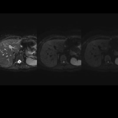
En estos casos se recomienda realizar RM para confirmar la presencia de grasa en las “lesiones” identificadas y descartar otras etiologías, demostrando disminución de la señal en secuencias fuera de fase, sin alteración del pulso difusión (fig. 12 y 13).
Independiente de su patrón de presentación, no condicionan cambios del parénquima luego de la administración de contraste endovenoso, no obstante igualmente se utiliza el gadolinio como medio de contraste para descartar otras entidades que puedan simular esta patología. La TC no suele aportar datos concluyentes cuando los focos de esteatosis son de pequeño tamaño y de bajo contenido graso, no logrando una adecuada diferenciación en su atenuación.7-8 (fig. 14)
Conclusión
La esteatosis hepática es uno de los diagnósticos mas frecuentes que se realizan en estudios de ecografía abdominales, dado que es una condición altamente prevalente en la población, suele asociarse a obesidad, trastornos metabólicos, resistencia a la insulina y consumo de alcohol. Se puede manifestar como esteatosis difusa, que es fácil de diagnosticar, o como esteatosis focal, multifocal o áreas respetadas de esteatosis, con diferente distribución, abarcando áreas habituales o inhabituales del hígado. Las imágenes por si solas no definen un diagnóstico, siempre deben considerarse antecedentes personales, factores morfológicos, estudios previos y estado clínico actual del paciente. Cuando la forma de presentación es multifocal e inespecífica, se recomienda complementar con RM para confirmar diagnóstico.
Bibliografía
1.Prasad SR, Wang H, Rosas H, Menias CO, Narra VR, William D, et al. Fat-containing lesions of the liver: radiologic-pathologic correlation. Radiographics. 2005;25:321–31.
2.Sajal S. Pokharel, MD, Current MR Imaging Lipid Detection Techniques for Diagnosis of Lesions in the Abdomen and Pelvis. RadioGraphics 2013; 33:681–702.
3. Okka W. Hamer, MD, Diego A. Aguirre, MD, et al. Fatty Liver: Imaging Patterns and Pitfalls. RadioGraphics 2006; 26:1637–1653.
4. Angulo P. Non alcoholic fatty liver disease. N Engl J Med. 2002; 346:1221-31.
5. McCullogh AJ. The epidemiology and risk factors of NASH. 2005. In: Farrel GC, George J, de la PM Hall (eds) Fatty liver disease, NASH and related disorders. Blackwell, Malden, pp 23-37.
6. O.W. Hamer, D.A. Aguirre, G. Casola, C.B. SirlinImaging features of perivascular fatty infiltration of the liver: initial observations Radiology, 237 (2005), pp. 159-169.
7. O.W. Hamer, D.A. Aguirre, G. Casola, J.E. Lavine, M. Woenckhaus, C.B. Sirlin Fatty Liver: Imaging Patterns and Pitfalls. RadioGraphics, 26 (2006), pp. 1637-1653.
8. van Werven JR, Marsman HA, Nederveen AJ, Smits NJ, ten Kate FJ, van Gulik TM et al. Assessment of hepatic steatosis in patients undergoing liver resection: comparison of US, CT, T1-weighted dual-echo MR imaging, and point-resolved 1H MR spectroscopy. Radiology. 2010;256:159-68.





























