Presentación de caso clínico-radiológico
Esteatosis hepática focal multinodular
La esteatosis hepática es una entidad frecuente, con un fácil diagnostico a través de estudios de ultrasonido, cuando su forma de presentación es la habitual.
LUM
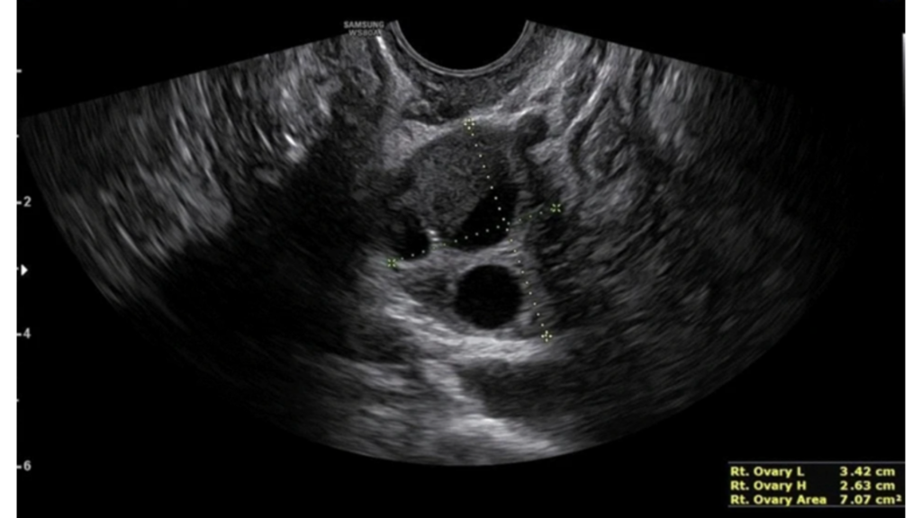
Estudio de Endometrosis
Se trata de un estudio simple, ambulatorio, sin radiación y de gran utilidad clínica, que permite una evaluación más completa que la ecografía ginecológica convencional cuando existe sospecha de endometriosis, especialmente en sus formas profundas.
LUM
Caso estudio III
Lorem ipsum dolor sit amet, consectetur adipiscing elit. Sed euismod, lacus in suscipit sagittis, arcu sem blandit orci, vitae aliquam lorem enim nec magna. Vivamus a nulla vel lorem vestibulum suscipit. Integer eget massa nec lectus vulputate fermentum.
Seguinos en nuestras redes sociales